Dental Treatments in Mithapur, Patna
At Dr Kumar’s Smile Style Dental Clinic & Implant Center, we provide comprehensive dental treatments for patients in Mithapur, Postal Park, Ramkrishna Nagar, and nearby areas of Patna.
From preventive dental care to advanced prosthodontic and implant procedures, our clinic ensures personalized and comfortable treatment for every patient.
PREVENTIVE & GENERAL DENTISTRY

Cavity Filling (Tooth-Coloured)
Tooth-coloured cavity fillings restore decayed teeth while maintaining natural appearance. These restorations blend seamlessly with your existing tooth structure and help prevent further damage.



Teeth Cleaning (Scaling & Polishing)
Professional clean-up, scaling and polishing are essential at least once every 6 months to maintain the health of the oral cavity.
Regular teeth cleaning helps:
• Prevent gum disease
• Remove plaque and tartar
• Maintain fresh breath
• Protect long-term oral health

Teeth Whitening
Teeth whitening improves the brightness of your smile safely under professional supervision. It helps remove stains caused by food, beverages, and lifestyle habits.
RESTORATIVE & ENDODONTIC CARE

Root Canal Treatment
Root canal treatment helps save infected teeth by removing damaged pulp tissue and sealing the tooth to prevent further infection.
This treatment:
• Relieves pain
• Preserves natural teeth
• Prevents extraction
We use modern techniques to ensure comfort and precision.

Extraction / Surgical Extraction of Impacted Teeth (Third Molar)
Surgical extraction is required for impacted wisdom teeth (third molars) that cause pain, swelling, or infection.
Our clinic performs safe and carefully planned wisdom tooth removal procedures.

Gum Surgeries
Gum treatments and minor surgical procedures help manage gum disease and restore healthy supporting tissues around teeth.
PROSTHODONTICS & REHABILITATION


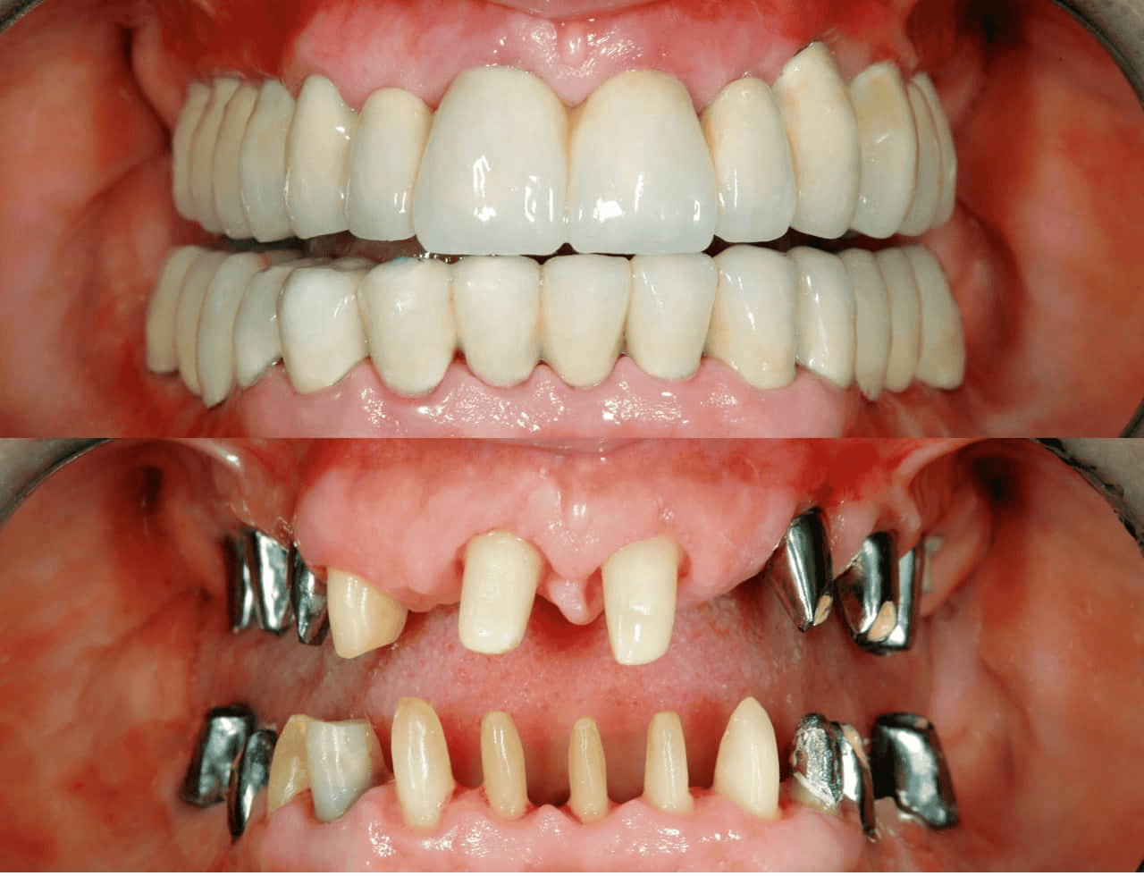
Complete and Partial Dentures
Dentures provide functional and aesthetic solutions for patients with multiple missing teeth.
We offer:
• Complete dentures
• Partial dentures
Customized for comfort and stability.


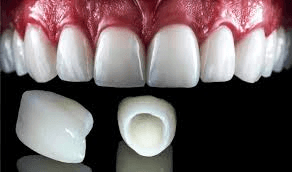
Bridges
Dental bridges replace missing teeth by anchoring artificial teeth to adjacent natural teeth.
Types available:
• Zirconia Crown and Bridge
• DMLS Crown and Bridge


Full Mouth Reconstruction
Full mouth reconstruction involves comprehensive treatment planning for patients with worn-out dentition, multiple missing teeth, or functional bite issues.


Dental Implant
Dental implants are a permanent solution for replacing missing teeth. They provide strong support, natural appearance, and long-term stability.
COSMETIC & SPECIALIZED CARE


Cosmetic Dentistry
Enhance your smile through:
• Porcelain Veneers
• Composite Veneers
These treatments improve shape, color, and overall appearance of teeth.

Smile Designing
Smile designing focuses on aesthetic planning to improve symmetry, alignment, and overall facial harmony.

Orthodontic Treatment
Orthodontic treatment helps align teeth properly, improving both appearance and function.


Dental Care of Children
Child dentistry focuses on preventive care and early diagnosis to ensure healthy dental development.



Maxillofacial Prosthesis
Maxillofacial prosthetic rehabilitation helps restore form and function for patients requiring specialized prosthodontic solutions.
Serving patients across:
Frequently Asked Questions
Which dental treatments are available in Mithapur, Patna?
Do you provide dental implants in Patna?
Is wisdom tooth extraction available?
Do you provide dentures?
Treatment Guidance by Our Team
Our treatments are planned with a comfort-first approach and clear guidance. For prosthodontic and implant cases, specialized support is available under our clinic's prosthodontic and oral implantology expertise.
Need Guidance About the Right Treatment?
Book your appointment and get professional consultation.
Early consultation helps avoid complex procedures later.
